Welcome to the Van Wolfswinkel Lab
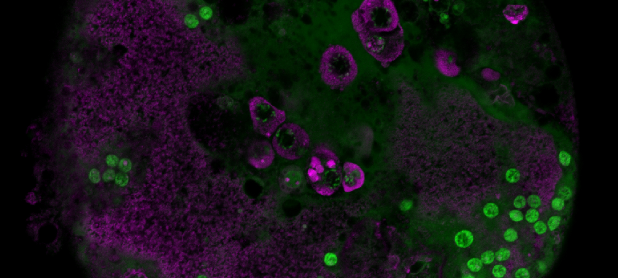
Our research explores how to extend the health-span of cells, tissues, and ultimately organisms. We investigate these questions through the remarkable biology of the flatworm Schmidtea mediterranea — an organism capable of regenerating from any injury, living indefinitely, and resisting cancer. These extraordinary traits are driven by the lifelong maintenance and precise regulation of adult pluripotent stem cells known as neoblasts. By decoding the mechanisms behind neoblast regulation, we aim to uncover new strategies for human tissue regeneration and long-term health.
Explore Our Research